El cáncer de mama (CM) es un problema de salud pública, prioritario por su dimensión y relevancia. Con el envejecimiento de la población, y una mayor exposición a los factores de riesgo, cada vez cobra mayor importancia en la sociedad y por lo tanto en los servicios de salud, que deberán responder a las necesidades crecientes de detección y atención de esta tumoración.
Según Globocan el CM en el 2018 es la segunda causa de neoplasia maligna a nivel mundial detrás del cáncer de Pulmón. En ése año existieron 18078957 casos de cáncer de los cuales 8622539 fueron en mujeres y de éstos el cáncer de mama con 2088849 es la primera causa.
En Ecuador hubo 28 058 casos de cáncer de los cuales 15276 fueron mujeres siendo la primera causa el cáncer de mama con 2787 y una mortalidad de 821 casos.
El CM es una proliferación maligna de las células epiteliales que revisten los conductos o lobulillos de la mama. Su incidencia está en aumento, pero su diagnóstico precoz ha logrado disminuir la mortalidad.
Número estimado de nuevos casos en 2018 a nivel mundial

Número estimado de nuevos casos en 2018 en Ecuador

Número estimado de muertes en 2018 en Ecuador

El factor de riesgo más importante de CM es el sexo femenino. Además, la incidencia de esta patología aumenta con la edad hasta los 45-50 años, en que tiende a estabilizarse. Otros factores de riesgo importantes están relacionados con:
Top panel illustrates the appearance of mammograms in each of the six density categories. Bottom panels illustrate the relative

Ilustración 4 Santen, R., Boyd, N., Chlebowski, R., Cummings, S., Cuzick, J., Dowsett, M., Easton, D., Forbes, J., Key, T., Hankinson, S., Howell, A., & Ingle, J. (2007). Critical assessment of new risk factors for breast cancer: considerations for development of an improved risk prediction model, Endocrine-Related Cancer Endocr Relat Cancer, 14(2), 169-187. Retrieved Oct 27, 2020, from https://erc.bioscientifica.com/view/journals/erc/14/2/0140169.xml
Casi el 30% de los cánceres de mama tiene algún componente familiar, pero menos del 10% es causado por mutaciones hereditarias en los principales genes del cáncer mamario.
Los antecedentes familiares que sugieren cierta predisposición hereditaria incluyen:
La prueba genética constituye una herramienta poderosa para definir quién en la familia tiene un riesgo elevado, siempre que sea posible realizarla
Representa del 5% al 10% de los cánceres mamarios y es un tipo de alteración que afectan un solo gen de susceptibilidad BRCA1 o BRCA2 con patrón de herencia autosómica dominante, con una transmisión vertical presentándose la enfermedad en cada generación. El portador de una mutación paterna o materna, tiene un 50% de riesgo de transmitir la mutación a sus hijos. Es una condición que aumenta la probabilidad de desarrollar cáncer de mama, ovario y de otros como páncreas y próstata.
El 50% de las mujeres con este síndrome portan mutaciones de los genes BRCA1 y el 40% BRCA2 y tienen un riesgo importante de desarrollar cáncer de mama/ ovario a temprana edad, el cual aumenta considerablemente con el avance de la edad.
El riesgo acumulado para los 70 años de desarrollar cáncer de seno u ovario es de 59% y 60% para BRCA1 y de 16,5 a 55% para BRCA2 respectivamente. El riesgo de desarrollo de cáncer contralateral en la población diagnosticada con cáncer unilateral para los 70 años es 83% para portadores BRCA1 y 62% para BRCA2. Los individuos con cáncer de mama y ovario tienen una probabilidad de 86% de ser portadores de una mutación de los genes BRCA.
Las características de la variedad BRCA1 incluyen: Diagnóstico temprano de cáncer de mama (mediana de 44 años), CM negativo para receptores estrogénicos y de progesterona, presencia de alto grado de malignidad y Cáncer de ovario simultáneo
Estas mujeres tienen una probabilidad del 35% al 80% de padecer cáncer de mama en algún momento de la vida y del 16% al 57% de sufrir cáncer ovárico.
Las mujeres con características de la variedad BRCA2 incluyen: Padecen cáncer de mama a la misma edad que aquellas con cáncer esporádico de mama, generalmente son positivo para receptores hormonales. Se puede acompañar de cáncer ovárico, pero con menos frecuencia que en las mutaciones del gen BRCA1. Los varones con mutaciones en BRCA2 padecen de cáncer de mama en 8,3%.
Existen otros síndromes genéticos relacionados con mayor riesgo de padecer cáncer mamario, como se lo puede ver a continuación:
Síndromes genéticos relacionados con mayor riesgo de padecer cáncer mamario.

Ilustración 5 Sullcahuaman Allende, Yasser C, Loarte Villarreal, Miluska, & Torres Loarte, Mariela. (2018). Cáncer ginecológico hereditario en la era de la medicina genómica. Revista Peruana de Ginecología y Obstetricia, 64(3), 461-468. https://dx.doi.org/https://doi.
Para SCHMO, las pruebas genéticas en una muestra de sangre o saliva pueden identificar una mutación en el gen BRCA1 o BRCA2; sin embargo, la historia familiar sigue siendo el primer paso para identificar a las personas portadoras de mutaciones de los genes BRCA. La construcción de heredogramas de tres generaciones consecutivas de todos los familiares, es necesario para sospechar e identificar los síndromes de cáncer hereditario. Se sugiere que sea a los 25 años. Los criterios clínicos para recomendar el estudio genético son los siguientes:
-Tres familiares de 1° grado con cáncer de mama, en dos generaciones sin importar la edad de aparición del cáncer.
-Dos familiares con cáncer de mama, uno con diagnóstico de los 40 años.
-Dos familiares de 1° grado con cáncer, una de mama y otro epitelial del ovario.
-Dos familiares de 1° o 2° grado con cáncer de mama, uno de ellos en un hombre.
-Familiar con cáncer de mama bilateral sincrónico.
-Familiar de 1°/2° grado con cáncer de mama antes de los 35 años.
-Familiar con cáncer de mama y cáncer epitelial del ovario.
Signos y síntomas:
El cáncer de mama al igual que la mayoría de cánceres no da síntomas o signos hasta que ya está en etapas avanzadas, sin embargo, cuando aparecen los más frecuentes son:
Exploración física:
Su sensibilidad y especificidad diagnóstica son superiores a las de la mastografía en mujeres jóvenes. El ACOG recomienda realizar la exploración física de las mamas durante la valoración sistemática regular en mujeres de 19 años o mayores. Se lo debe realizar cada mes, la semana posterior a la menstruación, a partir de los 40 años de edad.
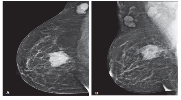
Mamografía bilateral
La mamografía es el método radiológico básico indispensable para el diagnóstico de la patología mamaria. En la actualidad, este estudio es el mejor disponible y constituye la prueba validada más relevante para detectar cáncer mamario, el único reconocido como técnica de tamizaje para el CM, permitiendo su detección precoz, y el único que ha demostrado una reducción de las tasas de mortalidad por CM avanzado, sobre todo en pacientes de 50 a 69 años de edad, siendo claramente inferior en pacientes más jóvenes. Su papel fundamental es la detección precoz del CM en mujeres asintomáticas, aunque también sirve como guía para el marcaje pre quirúrgico de lesiones o para dirigir punciones mediante estereotaxia.
La American Cancer Society, el American College of Obstetricians and Gynecologists y el American College of Radiology, recomiendan realizar una mastografía de detección anual a partir de los 40 años de edad. Sin embargo, dependiendo del sistema de salud se recomienda cada 1 a 2 años, a partir de los 40 a 50 años,
Proyecciones cefalocaudal (A) y medio oblicuo lateral (B) mama derecha. Ganglios en región axilar con aumento de su volumen, redondeados, con pérdida de su morfología y centro radiolúcido. Nótese el tumor primario en la interlínea de los cuadrantes superiores.
Ilustración 6 de Iturbide, M. C. O., & Ortiz, A. C. (2016). Actualidades en la detección oportuna de cáncer mamario: mastografía y ultrasonido. Acta Médica Grupo Ángeles, 14(S1), 7-12.
La mastografía se divide en:
Indicaciones para mastografía de Diagnóstico
Ecografía de detección
Se utiliza como método de despistaje, como ecografía complementaria a la mamografía e incluso sustituirla en casos concretos. Permite valorar la naturaleza sólida o quística de las lesiones y además puede detectar lesiones que la mamografía no es capaz, sobre todo en mamas densas.
Sistema Breast Imaging Reporting and Data System (BI-RADS)
Es un método para clasificar los hallazgos mamográficos que actualmente se considera el diagnóstico de la patología mamaria. Permite estandarizar la terminología y el informe mamográfico, y categorizar las lesiones estableciendo el grado de sospecha y asignar la actitud a tomar en cada caso.
Categorizas de evaluación BI-RADS
Ilustración 7. Camacho-Piedra, C., & Espíndola-Zarazúa, V. (2018, April). Actualización de la nomenclatura BI-RADS® por mastografía y ultrasonido. In Anales de Radiología, México (Vol. 17, No. 2, pp. 100-108).
Resonancia Magnética
Este método ha sido valorado recientemente en mujeres con riesgo genético elevado. Resulta muy interesante en este grupo de mujeres, quienes desarrollan cáncer mamario a una tasa de 2% anual entre los 25 y 50 años de edad, que es cuando la sensibilidad de la mastografía disminuye por la densidad del tejido mamario. En general, la MRI es más sensible y específica que la mastografía, pero ha sido criticada por su costo y su índice elevado de resultados positivos falsos. En mujeres con antecedentes heredofamiliares y una mastografía normal, se esperaría encontrar nueve MRI anormales y tres de éstas corresponderían a cáncer mamario oculto desde el punto de vista mamográfico.
Tratamiento color
Este cáncer se debe tratar en un ambiente multidisciplinario que comprenda cirujanos, oncólogos y radioterapeutas.
El objetivo de la intervención quirúrgica y de la radioterapia es eliminar tumores locales o regionales de tal forma que se conserven al máximo los aspectos estéticos y se reduzca su riesgo.
Se ha demostrado que estos métodos quirúrgicos disminuyen el riesgo de metástasis subsecuentes. Pero gran parte de las pacientes con cáncer al parecer circunscrito poseen células tumorales detectables en la sangre o la médula ósea en el momento del diagnóstico.
Por eso es considerado el tratamiento generalizado con quimioterapia, manipulación hormonal o tratamientos dirigidos constituye el método principal para reducir el riesgo de metástasis o la muerte.
Para la población en general, se puede controlar los factores de riesgo modificables:
Evitar específicamente obesidad y vida sedentaria mediante ejercicio físico principalmente en mujeres posmenopáusicas.
Disminuir o evitar el alcohol.
Favorecer la lactancia materna ya que se lo considera como factor protector.
Autoexamen mamario
Examen clínico mamario anual a partir de los 40 años realizado por profesional especialista.
Mamografía anual a partir de los 40 – 50 años
Pacientes con riesgo elevado, son aquellas pacientes que presentan los siguientes factores:
Historia familiar de cáncer de mama o también dos o más parientes de primer grado con cáncer sin mutaciones demostradas
Antecedentes de primaria que informa lesiones histológicas de alto riesgo: Hiperplasia atípica, atipia plana y carcinoma lobular in situ.
Antecedente personal de cáncer de mama
Densidad mamográfica aumentada (polémica)
Se sugiere las pautas de la población general más las siguientes:
Exploración física cada seis meses, alternando una mastografía con una RM o ecografía mamaria. Comenzar diez años antes de la edad a la que se haya diagnosticado el primer cáncer de mama familiar.
La elección del medicamento depende de algunas consideraciones en cuanto a la paciente:
Pacientes posmenopáusicas, se debe considerar los efectos adversos y otros riesgos de la paciente
Si se prefiere un modulador selectivo de los receptores de estrógenos, se sugiere raloxifeno si hay preocupación de cáncer de útero o riesgo tromboembólico. Pero si hay más preocupación de cáncer de mama, se prefiere tamoxifeno.
Si se prefiere no elegir la opción anterior, se podría ofrecer un inhibidor de la aromatasa. La densidad mineral ósea debería ser monitorizada con esta terapia.
En pacientes premenopáusicas, se sugiere tamoxifeno, no están indicados raloxifeno ni inhibidores de la aromatasa en estos pacientes.
Pacientes con riesgo muy elevado, que presentan los siguientes factores:
Portadoras de mutaciones en genes BRCA 1 y BRCA 2.
Antecedentes de radioterapia al tórax, generalmente por cáncer linfático antes de los 30 años
Se sugiere las pautas de la población general y de riesgo elevado junto con:
Ooferectomía profiláctica bilateral reduce el riesgo de cáncer mamario en 50% y de cáncer de ovario en más de 90%, sobre todo en pacientes pre menopáusicas antes de los 45 años
Mastectomía profiláctica bilateral reduce el riesgo de cáncer mamario en más de 90%
Bibliografía
¿Ya conoces nuestro canal de YouTube? ¡Suscríbete!
UTPL fortalece cooperación científica entre Ecuador y Alemania tras 30 años de investigación conjunta
Petróleo, Ecuador e Irán
Inteligencia artificial: el aula sin maestro
Estudiantes de bachillerato viven una experiencia universitaria inmersiva en la UTPL
Reserva Sumaco traza su hoja de ruta para la conservación y desarrollo sostenible